Case of the Month #49 Hyperinflammatory State in the Intensive Care Unit

Published 23/05/2024

Overview

Theme: Haemophagocytic lymphohistiocytosis, sepsis, multi-organ failure, respiratory, haematology 

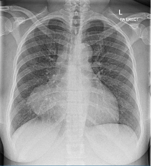
A 45-year-old woman presented via ambulance to A+E complaining of shortness of breath, cough, malaise and headache that had been ongoing for the last 3 days. Her past medical history consisted of HIV which she was diagnosed with 20 years ago; she stopped highly active anti-retroviral therapy (HAART) 10 years ago 

On examination her airway was patent, she had an increased work of breathing but stable O2 saturations of 95% on 35% venturi, heart rate was 103 bpm and blood pressure of 115/75 mmHg, her tympanic temperature was recorded at 38.7 degrees Celsius. She had a central capillary refill time of 3s and her GCS was 15. 

CXR was performed on admission which is shown below:

 

CXR was performed on admission which is shown below